(QK7 Online) - Đáp: Covid-19 là virus có cả ở người và động vật bị bệnh cũng như người và động vật mang virus không có biểu hiện bệnh. Từ người và động vật mang virus, Covid-19 được phát tán ra môi trường xung quanh chủ yếu dưới dạng giọt bắn từ dịch tiết đường hô hấp khi ho, hắt hơi, xì mũi hay khạc nhổ. Các giọt bắn này gây ô nhiễm không khí trong phạm vi bán kính 2m từ nguồn phát tán. Từ không khí, các giọt bắn rơi lên bề mặt các đồ vật như quần áo, bàn ghế, điện thoại, bàn phím máy tính,
nút bấm thang máy… gây ô nhiễm trực tiếp các bề mặt này.

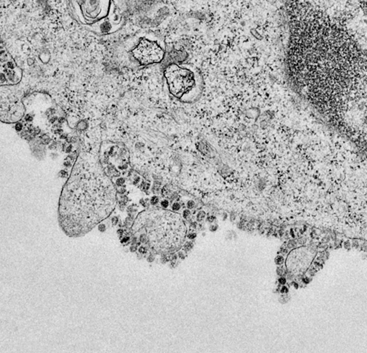
Hình ảnh virus Covid-19 nhân lên và thoát ra khỏi tế bào chủ. (Nguồn: John Nicholls, Leo Poon và Malik Peiris - ĐHTH Hồng Kông).
Nếu ai đó chạm vào bề mặt ô nhiễm trên rồi lại chạm tiếp vào các vật khác như tay nắm cửa, nút bấm thang máy, thành ghế, tay vịn cầu thang, tay vịn trên các phương tiện giao thông… sẽ tiếp tục gây ô nhiễm gián tiếp cho các bề mặt mới này. Như vậy, Covid-19 tồn tại chủ yếu trong không khí ở khoảng cách trong bán kính khoảng 2m xung quanh người mang virus ho, hắt hơi, xì mũi mà không đeo khẩu trang hay lấy tay che mũi, miệng; ở trên bề mặt các đồ vật xung quanh khu vực người ho, hắt hơi, xì mũi, khạc nhổ và có thể cả trên bề mặt các đồ vật bị ô nhiễm thứ phát rất khó xác định.
Từ các lý do trên, hành động đeo khẩu trang khi bị bệnh hoặc nghi ngờ mang mầm bệnh; che mũi, miệng khi ho, hắt hơi khi không đeo khẩu trang; không xì mũi, khạc nhổ nơi công cộng có ý nghĩa hết sức quan trọng trong việc hạn chế phát tán và gây ô nhiễm virus trong cộng đồng; thường xuyên vệ sinh các đồ vật xung quanh cũng là biện pháp hiệu quả để tránh ô nhiễm (kể cả trực tiếp và gián tiếp) môi trường sống; hạn chế chạm tay vào các bề mặt có nguy cơ ô nhiễm cao, rửa hoặc sát trùng tay thường xuyên, hạn chế bắt tay cũng là các biện pháp hiệu quả để tránh gây ô nhiễm thứ phát. Điều này không chỉ đúng với Covid-19 mà còn đúng với tất cả các bệnh có tác nhân gây bệnh trong đường hô hấp nói chung.
Trích 100 Câu hỏi đáp về dịch bệnh Covid-19 của Học viện Quân y